
Dark, unsightly areas of metal, stain or old bonding can detract from what otherwise might be a perfect set of teeth. Tooth-colored resin fillings can make a tooth look like new, whether they are used for small areas of decay or to replace current fillings. We do not and have not placed silver fillings for over 15 years.

Old silver amalgams

Tooth-colored fillings & onlays
Tooth Whitening/Bleaching products brighten and whiten teeth that have been stained or darkened by food, tobacco use, age, medications or injury. We offer a complete menu of options for you to choose from, including The Zoom! Advanced Power Chairside System (ONE VISIT), as well as take-home whitener used with custom-fitted trays. Ask us about our new Deep Bleaching Program, combining everything known today about tooth whitening, which is the most complete way to get your teeth their very brightest.

Before Zoom!

After Zoom!
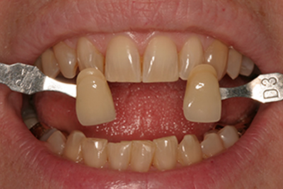
Porcelain Veneers (Laminates) are very thin, tooth-colored shells, almost like contact lenses that are custom-fit and bonded to the front sides of teeth to close gaps, cover stains and discolorations, correct chipped or misshapen teeth to give you a bright, even, attractive smile. With modern preparation technology, minimal or no enamel is removed to create this beautiful, natural, long-lasting smile. Ask for a computer-assisted smile analysis or a mock-up of your own teeth to preview your new smile.

Before Porcelain Veneers

After Porcelain Veneers

Appointments at our Manhattan office available by request. Please call (646) 863-3429 for hours and openings.