
Periodontal or gum disease is an infection of the tissues that surround and support your teeth. In the early stage of gum disease, also called gingivitis, gums may become red and swollen and bleed easily; in the more advanced stage, called periodontal disease, teeth can loosen and fall out. We help our patients from the very beginning, educating them to maintain healthy oral tissues. Ask us about Arestin, which can be gently placed into gum pockets to decrease periodontal disease by shrinking tissue and killing bacteria. This new technology and many others that we use here in the office may keep you from having to see a periodontal surgeon.
Our periodontal program allows us to customize each patient’s recall time interval and type of treatment that best suits that patient’s needs. Our hygienists are trained in the most modern and effective ways to fight gum disease while educating our patients on how to take control of their own oral health. We will frequently take recordings and measurements of your teeth and gums to monitor any changes that might affect your oral health. Any changes will be discussed with you so that the proper periodontal treatment can be made.
Root canal is the removal of the nerve due to bacterial infection or tooth decay. Despite its reputation as a painful ordeal, a root canal is actually not very uncomfortable. During the procedure, the damaged nerve is removed, the canal is cleaned and sealed off, and a crown is often placed on the tooth afterward to maintain the strength and integrity of the tooth. If not, the tooth may become brittle and crack.
Biomimetic dentistry is a practice that allows the dentist to mimic all of the natural properties of a tooth, returning an infected tooth to its original strength, function and esthetics. It is a conservative practice and it relies on the principles of advanced adhesive dentistry, sealing teeth off from bacterial invasion. Only the part of the tooth affected by caries is removed and all healthy tooth structure is maintained. The removal of excess healthy tooth structure can cause pulpal irritation, increased sensitivity and may require root canal treatment. The implementation of biomimetics can significantly reduce the need for root canals, providing a longer life span to the teeth.
The tooth is reconstructed layer by layer, cusp by cusp, which increases the bond strength and decreases the stress to the tooth and the occurrence of micro gaps at the margins of fillings. Dental materials and techniques have improved significantly, allowing biomimetic dentistry to be a long lasting, predictable solution; often times preventing the need for full coverage crowns.
Impacted wisdom teeth have the potential to damage nearby teeth, bone and roots, and invite bacterial infection, which in turn leads to pain, swelling, jaw stiffness and other problem. We routinely take the proper x-rays to determine the position and the extent of growth of these teeth usually beginning in the teenage years.
For many reasons including fracture, decay and periodontal disease, other teeth may unfortunately have to be extracted for the overall long-term health of a patient. Dr. Berman has received specialized training in the removal of all teeth in a way that will preserve the bone which prevents sinking in of the face or cheeks. Additionally we graft those areas where necessary to build up the missing or lost bone so that we may place dental implants, bridges or dentures. Extractions no longer need to result in big holes of lost bone and tissue leaving behind defects that collect food or look unsightly.
Common orthodontic problems, that require treatment include crooked teeth, crowding, spacing, protruding upper teeth, overbite, under bite, open bite and cross bite. Treatment is designed to help the patient both aesthetically (by improving the smile) and functionally (by improving the bite). In many case the orthodontic treatment can be performed with Invisalign, a relatively new technology. Invisalign allows us to use aligners (like stiff whitening trays) instead of metal brackets and wires to straighten teeth. We are a certified provider of Invisalign. Teeth can be made straight once again to create a beautiful smile.
Often we can use these and other orthodontic techniques to straighten out teeth as part of a larger treatment plan. This can decrease the amount of drilling and tooth reduction that must be done, as well as increase the periodontal health and long term maintenance of your teeth and gums.

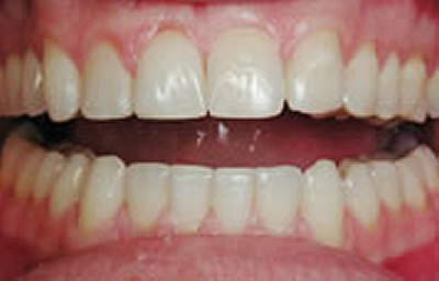
Before Invisalign® Treatment

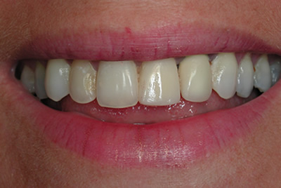
After Invisalign® Treatment
Dental Crowns are used to strengthen and improve the shape, size or color of teeth. They can restore broken or weak teeth or fix those with large fillings. Many of today’s crowns are made from porcelain and can be as strong as the older metal crowns that have been used in the past.

Before Ceramic Crowns

After Ceramic Crowns
Dental Bridges are natural-looking tooth replacements that fill in the gaps caused by missing teeth. Bridges help maintain facial structure and reduce stress on the jaw. Removable bridges can be taken out and cleaned at home, while fixed bridges are permanently cemented. One good example of a fixed dental bridge is three crowns strung together where the middle one replaces a missing tooth. In cases where implants are not possible or simply not chosen, bridges are an excellent choice to replace a missing tooth.
Inlays and onlays are solid fillings used to restore damaged or decayed teeth. They are often needed when there is not enough healthy tissue left in the tooth to support a regular filling. We provide esthetic porcelain restorations as well as gold where indicated.

Appointments at our Manhattan office available by request. Please call (646) 863-3429 for hours and openings.